
FULL ARCH FIXED PROTHESIS
Rehabilitation with implants and fixed prostheses
Treatments
1. Placement of Upper and Lower Total Implants
2. Placement of Temporary Fixed Prostheses
3. Placement of Definitive Fixed Prostheses
Doctors
Dr. Pedro Pimenta
Dr. Catarina Leonardo
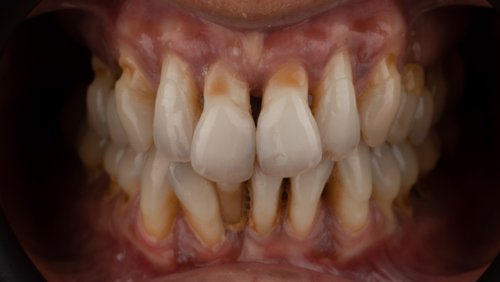
Despite her age, this patient faced a reality that is normally associated with later cases: very advanced periodontitis, with severe loss of bone support and generalized tooth mobility.
The impact was visible — not only on their function, but above all on their self-esteem, well-being and the way they related to others. The smile, which should be light and confident, was often hidden, conditioned by shame and discomfort.
At LP CLINIC, we knew that the challenge was great, but we also knew that there was a solution: a complete rehabilitation plan with dental implants and upper and lower fixed prostheses, designed to restore not only masticatory function and aesthetics, but also the freedom to smile without fear.
Each step was performed with precision, advanced technology and a total focus on patient comfort. The end result is a firm, natural, healthy and truly transformative smile — on par with the youth, energy and new confidence with which this patient returned to her daily life.
This case proves that, even in complex clinical situations, it is possible to start over with dignity, security and a renewed smile.


The images and content presented were shared with the patient's informed consent. The disclosure was specifically authorized for informational purposes, based on the veracity and clinical relevance of the case, and may contribute to a more informed choice by other patients.















